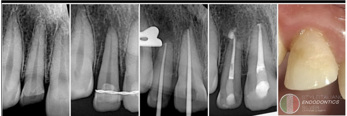
Advances in endodontic materials have influenced contemporary approaches to root canal obturation. A bioceramic sealers possess favorable properties, including biocompatibility, dimensional stability and the ability to form hydroxyapatite, which may enhance sealing root canal spaces. These characteristics have contributed to a shift toward simplified obturation techniques, particularly the single-cone approach. Compared with traditional compaction techniques, this method reduces procedural complexity and clinical time while maintaining an effective seal of the root canal system. For straightforward endodontic cases with adequate cleaning and shaping, simplified obturation protocols using bioceramic sealers have demonstrated predictable clinical outcomes.












