
The Bioceramic Shift: Less complicated Yet Still Effective in Maintaining Predictable Outcomes
12/04/2026
Warning: Undefined variable $post in /home/styleendo/htdocs/styleitaliano-endodontics.org/wp-content/plugins/oxygen/component-framework/components/classes/code-block.class.php(133) : eval()'d code on line 2
Warning: Attempt to read property "ID" on null in /home/styleendo/htdocs/styleitaliano-endodontics.org/wp-content/plugins/oxygen/component-framework/components/classes/code-block.class.php(133) : eval()'d code on line 2
Successful root canal treatment relies on thorough cleaning, shaping, and three-dimensional obturation of the root canal system. For decades, obturation techniques have evolved with the goal of achieving a well-sealed filling that prevents bacterial reinfection and promotes long-term periapical healing. Traditional approaches such as cold lateral compaction and various warm vertical compaction techniques have been widely accepted as standards of care, largely because they aim to improve adaptation of gutta-percha within the complex anatomy of the root canal system. However, these techniques require long learning curve, multiple instruments and a high level of experience to achieve consistent results.
Recent developments in endodontic materials have introduced bioceramic sealers, which have significantly influenced contemporary obturation techniques. Bioceramic sealers are characterized by favorable biological and physicochemical properties, including excellent biocompatibility, dimensional stability and the ability to form hydroxyapatite during the setting process. These properties contribute to chemical bonding with dentin and potentially improved sealing ability. As a result, the sealer is no longer regarded merely as a filler for voids between gutta-percha and dentinal walls but rather as an active component of the obturation system.
The introduction of bioceramic sealers has also led to a conceptual shift in obturation philosophy. Instead of relying primarily on complex compaction techniques to adapt gutta-percha to canal walls, many clinicians now utilize simplified approaches such as the single-cone technique, in which the bioceramic sealer plays a more significant role in sealing the canal space. This approach reduces procedural complexity, shorter learning curve and may decrease the risk of procedural errors while maintaining effective sealing.
For straightforward endodontic cases with adequate cleaning and shaping, simplified obturation protocols using bioceramic sealers have demonstrated promising clinical outcomes. The ability to achieve predictable sealing with fewer procedural steps represents a meaningful advancement in clinical efficiency without necessarily compromising treatment success.
This article explores the evolving role of bioceramic sealers in root canal obturation and discusses how modern materials have enabled a simplified yet effective approach to obturation, particularly in uncomplicated clinical cases.
Fig. 1
Patient was referred for endodontic treatment on tooth 22, There was a quite large lesion on the apical. Leaking of coronal restorations was also noted.
Fig. 2
Tooth was opened, shaped up to working length unit final size of 30/.05. NaOCl 6% was used in between instruments. Activation of irrigants was 6% of NaOCl with EDDY tip for 6 cycles, each are 30 seconds. Final irrigation was 17% EDTA for 1 min.
Fig. 3
After drying the canal, Bioceramic sealer was injected inside the canal slowly followed by single cone obturation technique.
Fig. 4
C Root Bioceamic Sealer used in this case for several reasons:
- Strontium Silicate based
- Promotes osteogenesis & apical healing
- Highly antibacterial
- Superior biocompatibility
- Excellent Flow & Sealing
- Setting time of 8 hours under 37 C & 95% humidity
- Easy to clean
In this video you can see how I agitate the irritants using sonic activation and using Single cone technique with Bioceramic Sealer. Important things in this video:
- Upon drying the canal using paper point, do not dry the canal too dry cause Bioceramic Sealer will have difficulties in setting. Just make the canal moist
- I prefer to use transparent tip for the BC sealer for easier visualization of the sealer deposition to avoid overflow of BC sealer and make the cavity getting messy
- Cut the GP cone using heat and touch device at few mm below orfiices and make sure we packed the GP cone coronally
- Using just saline and microbrush to clean the remaining excess sealer in the cavity
- Follow directly with permanent restoration
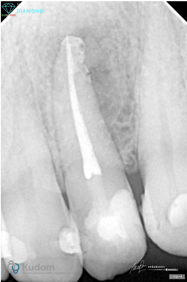
Fig. 5
Post op Xray showed an anatomical variations at the apical area. BC sealer managed to fill the spaces
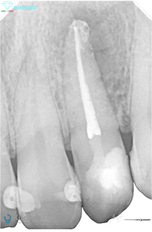
Fig. 6
Another angle of post op Xray. Coronal restoration now showing good adaptation without void. And some anatomical variations at the apical area showed that C Root BC sealer managed to fill the spaces that has been adequately shaped and cleaned
Conclusions
The introduction of bioceramic sealers has simplified the root canal obturation process without compromising treatment quality. The use of C‑Root BC Sealer supports a more straightforward obturation approach while still maintaining reliable sealing ability and favorable biological properties. Its excellent flow, bioactivity, and compatibility with dentin allow clinicians to achieve predictable outcomes even with less complex techniques. This shift toward bioceramic-based obturation reflects a modern endodontic philosophy—prioritizing efficiency, biological harmony, and consistency in clinical results.
Bibliography
Kim, J. H., Cho, S. Y., Choi, Y., et al. (2022). Clinical efficacy of sealer-based obturation using calcium silicate sealers: A randomized clinical trial. Journal of Endodontics, 48(2), 191–198.
Camilleri, J. (2015). Sealers and warm gutta-percha obturation techniques. Journal of Endodontics, 41(1), 72–78.
Zamparini, F., Spinelli, A., Lenzi, J., Gandolfi, M. G., & Prati, C. (2024). Clinical and radiographic failure of nonsurgical endodontic treatment and retreatment using single-cone technique with calcium silicate–based sealers: A systematic review and meta-analysis. Journal of Endodontics, 50(6), 735–746.
Pontoriero, D. I. K., Ferrari Cagidiaco, E., Maccagnola, V., et al. (2023). Outcomes of endodontic-treated teeth obturated with bioceramic sealers in combination with warm gutta-percha techniques: A prospective clinical study. Journal of Clinical Medicine, 12(8), 2867.
Spinelli, A., Zamparini, F., Lenzi, J., Gandolfi, M. G., & Prati, C. (2024). Three-year clinical outcome of root canal treatment using a single-cone technique and premixed bioceramic sealer: A prospective cohort study. European Endodontic Journal, 9(4), 383–393.
