
S obturation with hydraulic BC cement for UR5 with deep apical split
14/02/2026
Warning: Undefined variable $post in /home/styleendo/htdocs/styleitaliano-endodontics.org/wp-content/plugins/oxygen/component-framework/components/classes/code-block.class.php(133) : eval()'d code on line 2
Warning: Attempt to read property "ID" on null in /home/styleendo/htdocs/styleitaliano-endodontics.org/wp-content/plugins/oxygen/component-framework/components/classes/code-block.class.php(133) : eval()'d code on line 2
A 43 years old male presented with severe continuous pain in his upper right area, started few days ago. Clinically, UR5 has deep proximal decay, and painful response to cold test, with moderate tenderness to percussion.
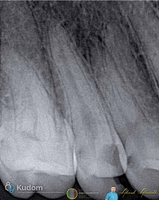
Fig. 1
IOPA showed UR5 with deep decay, and single wide canal that suddenly becomes narrow at the apical third, suggesting a split, which needs to be confirmed clinically.
Diagnosis: UR5 with symptomatic irreversible pulpitis (SIP) and symptomatic apical periodontitis (SAP)
Fig. 2
After infiltration anaesthesia and rubber dam isolation, access to UR5 revealed hyper inflamed pulp tissue. Single canal been prepared to #25/06 with two POEs (portal of exits) that were negotiated and prepared. NaOCl 3%, EDTA 17%, PUI
To ensure maximum hermetic seal of the root canal system, I have used combination of premixed hydraulic BC cement (C Root Dental) and thermoplacticised gutta percha
Fig. 3
Post obturation IOPA showing 3D obturation of the root canal system filling the two POEs
Fig. 4
Cleaning the access cavity from root filling material to ensure maximum bonding of the restoration
Fig. 5
Final situation of UR5, and the patient been scheduled for definite cuspal coverage
Conclusions
The goal of root canal treatment is to cure or prevent apical periodontitis (Ørstavik & Pitt Ford 2008). And this can be achieved by removing the causative factor (mostly bacteria) (Basrani and Haapasalo 2012) by chemomechanical debridement of the root canal system and then to seal the root canal system with a hermetic seal to prevent re-infection (Kakehashi et al 1965).
Thermal obturation is considered a gold standard obturation for a long time (Schilder 1967). With advancements and technologies in Endodontics, hydraulic bioceramic cements have been considered a great option as root filling material due to its superiority in many properties like biocompatibility, bioactivity, anti-bacterial activity, hydrophilic properties, and many others.
In this case, I have used in obturation a combination between hydraulic premixed biocaramic cement (C root Dental) and thermoplacticised gutta percha, to ensure a maximum seal of the root canal system anomalies
Bibliography
- Basrani B and Haapasalo, M (2012) Update on endodontic irrigating solutions. Endodontic topics, 27(1), 74-102.
- Kakehashi S, Stanley H, Fitzgerald R. The effects of surgical exposures of dental pulps in germ-free and conventional laboratory rats. Oral Surg Oral Med Oral Pathol 1965: 20: 340–349.
- Ørstavik D, Pitt Ford TR (2008) Apical Periodontitis: Microbial infection and host responses. In: Orsta Ørstavik vik D and Pitt Ford TR, Essential Endodontology 2nd edition. Oxford: Blackwell Science, 1-9.
- Schilder, H. (1967) Filling root canals in three dimensions. Dental Clinics of North America, 11(3), 723-744.
