
Respecting the curves with Rising
03/11/2025
Francesca Cerutti
Warning: Undefined variable $post in /home/styleendo/htdocs/styleitaliano-endodontics.org/wp-content/plugins/oxygen/component-framework/components/classes/code-block.class.php(133) : eval()'d code on line 2
Warning: Attempt to read property "ID" on null in /home/styleendo/htdocs/styleitaliano-endodontics.org/wp-content/plugins/oxygen/component-framework/components/classes/code-block.class.php(133) : eval()'d code on line 2
Endodontic success relies heavily on the ability to shape root canal systems with precision, minimal risk, and maximum conservation of original anatomy. Among modern instruments, the Rising endodontic files by Fanta Dental stand out for their unique balance of flexibility, cutting efficiency, and safety.
Rising files allow clinicians to navigate even the most complex root canal curvatures, respecting natural trajectories instead of forcing straight-line access. The advanced metallurgy and geometry help the file adapt to the canal’s path, reducing procedural errors like transportation or ledging. As a result, the original canal shape is preserved, while optimal cleaning and debridement are still achieved.
Another key strength of Rising files is conservative dentin removal. The file’s design minimizes unnecessary cutting, protecting tooth structure and helping maintain long-term strength and integrity. This is vital for cases where preservation is paramount—for example, in molars with thin walls or multiple curves.
Here is an example of the use of Rising in a clinical case.
Fig. 1
A patient with symptomatic irreversible pulpitis came to my attention. A large buccal decay was the cause of the pathology.
Fig. 2
The pre operative X-ray showed the curved anatomy of the tooth
Fig. 3
Isolation after removing the decay and partially building up the buccal aspect of the tooth in order to make it possible to position the clamp
Fig. 4
Seen the complexity of the case, I chose to shape the root canals with the Rising files by Fanta Dental. This Kit is composed by 5 instruments:
RR (17/.10)
R1 (13/.03)
R2 (25/.04)
R3 (30/.04)
R4 (28/.05)
Fig. 5
I started with pre flaring the root canals by using the RR file (17/.10) in the coronal third
Fig. 6
Then I used the R1 file (13/.03) short to the estimated working length
Fig. 7
After that, I kept pre-flaring the root canals using the R2 (25/.04)
Fig. 8
After pre flaring, I was able to reach the working length in all the root canals with the R1 file.
Fig. 9
I proceeded with the R2
Fig. 10
Then I increased the size of my preparation until I had a good visual gauging, enlarging up to R4 (28/.05) in the mesio-buccal and disto-buccal canal. In the palatal, I enlarged up to R3 (30/.04)
Fig. 11
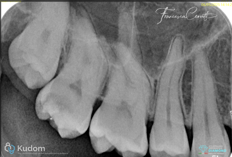
Cone fit X-ray
Fig. 12
After the root canal filling
Fig. 13
Post operative X-ray
Fig. 14
Follow up X-ray
Conclusions
The coronal preflaring helps reducing the interferences that could lead to file breakage or mishaps during the shaping phase.
Choosing Rising by Fanta Dental allows clinicians to perform effective and safe root canal shaping, truly respecting the natural curves and complexities of each tooth. Such instruments represent a step forward for endodontic therapy, combining innovation with respect for dental anatomy.
