
Can we go far with manualless shaping?!
19/09/2025
Fellow
Warning: Undefined variable $post in /home/styleendo/htdocs/styleitaliano-endodontics.org/wp-content/plugins/oxygen/component-framework/components/classes/code-block.class.php(133) : eval()'d code on line 2
Warning: Attempt to read property "ID" on null in /home/styleendo/htdocs/styleitaliano-endodontics.org/wp-content/plugins/oxygen/component-framework/components/classes/code-block.class.php(133) : eval()'d code on line 2
The main goal of endodontic treatment is to prevent and treatment of apical peridontitis , through proper shaping ,cleaning , obturation of the root canal system .
Negotiation of the root canal system , patency , and estableshment of repeatable glide path , is the most chalenging steps in RCT , and on it , the others steps (shaping , cleaning and obturation)
Depends..
Basicly and traditionaly , these steps performed manualy by ss 10 k file , Benefiting from tactile sensation and the more control hand movement ..
Fig. 1
A tooth number #11 with chronic apical absses
From the preoperative x-ray , the canal with ( wide diameter , straight ,) so its considered as an "Easy case" .
Fig. 2
Postoperative radiograph
The files sequence protocol for shaping such cases is :
25/04 ٫25/06 ,30 or 35/04 )full WL.
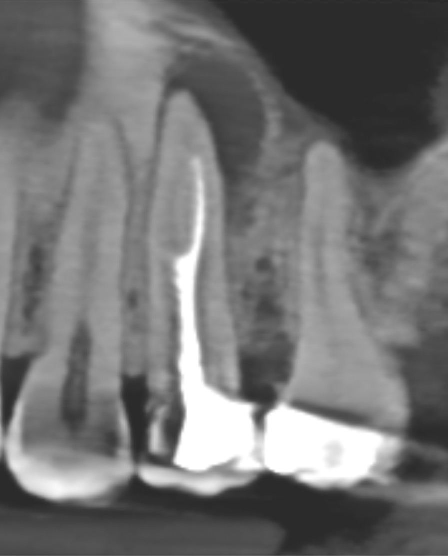
Fig. 3
A tooth number #36 with acute irriversible pulpitis .
From the preoperative x-ray , the canal with ( normal diameter , silght curvature , no calcification ) so its considered as a Normal case ..
Fig. 4
Postoperative radiograph
The files sequence protocol for shaping such cases is :
15/3 (glide path preparation).
20/4 , 25/4 , 30 or 35 /4 for for FWL
Fig. 5
A tooth number #37 with previously initiated therapy due to Acute irrivesible pulptis
From the preoberative x-ray The tooth has a multiplaner curvature ..
So its cosidered a "difficult case" ( sever or modurate curvature , partialy calcified , very tiny canal )
Fig. 6
The files sequence protocol for shaping such cases is :
15/3 up to middle third (coronal glide path)
25/6 up to middle third (coronal preflaring )
15/3 for FWL In OTR or OGP mode (glide path preparation )
20/4 , 25/4 for FWL
Fig. 7
Many cases treated by Manualless shaping technique
Fig. 8
Ali Abd
Conclusions
We can treat the majority of cases by manualless shaping technique , but every one should know his limit and the limit of the technique itself , so the case difficulty , experince of the operator , file physics and metalurgy : all these factor affect the general outcome of this tech.
Bibliography
Ajina, M., Billis, G., & Chong, B. S. (2022). The Effect of Glide Path Preparation on Root Canal Shaping Procedures and Outcomes. European endodontic journal, 7(2), 92–105. https://doi.org/10.14744/eej.2022.97659
The endodontic Glidepath: "Secret to rotary safety”. John D West Dent Today 2010 Sep;29(9):86, 88, 90-3.
Manual versus mechanical endodontic glide path. John D West Dent Today 2011 Jan;30(1):136, 138, 140
Influence of Negotiation, Glide Path, and Preflaring Procedures on Root Canal Shaping—Terminology, Basic Concepts, and a Systematic Review. February 2020 Journal of Endodontics DOI:10.1016/j.joen.2020.01.023
