
Primary Endo treatment & final restoration
23/11/2025
Dennis Quintero Santos
Warning: Undefined variable $post in /home/styleendo/htdocs/styleitaliano-endodontics.org/wp-content/plugins/oxygen/component-framework/components/classes/code-block.class.php(133) : eval()'d code on line 2
Warning: Attempt to read property "ID" on null in /home/styleendo/htdocs/styleitaliano-endodontics.org/wp-content/plugins/oxygen/component-framework/components/classes/code-block.class.php(133) : eval()'d code on line 2
The success of Endodontic treatment relies not only on the proper cleaning and disinfection of the root canal but also in the adequate restoration of the treated tooth. A well executed restoration is essential for the protection of the remaining tooth structure, preventing fracture, and avoiding reinfection. Additionally, it ensures the tooth’s long-term functionality and aesthetics, allowing the patient to maintain a balanced bite and a healthy smile. Therefore, the careful selection of appropriate materials and meticulous execution of the restoration is the key to maximize the durability and overall success of root canal therapy.
Fig. 1
. Tooth 3.6
. Initial X-ray with deep provisional material close to the pulp.
Fig. 2
Initial clinical situation
Fig. 3
. Tooth 3.6 with irreversible pulpitis.
. Occlusal structural loss.
Fig. 4
. Occlusion diagnosis.
. Absence of 3.7.
. Is very important to make the correct restoration to avoid any vertical fracture in the future.
Fig. 5
. We start with isolation and the use to C-Root Dam to avoid saliva filtration.
Fig. 6
C-Root Dam use to seal around the tooth with isolation and avoid filtration.
Fig. 7
. C-Root EDTA Gel is used mainly as a lubricant and chelating agent during canal instrumentation.
. Main purposes: Lubrication, chelation, smear layer reduction, facilitates debris removal.
Fig. 8
. C-Root EDTA solution.
. Main purpose: Remove the smear layer (a film of organic and inorganic debris produced during canal instrumentation.
Fig. 9
. C-Root SP bioceramic sealer.
. Purpose: Sealing root canal, Biocompatibility, Moisture-friendly setting, antibacterial properties.
Fig. 10
. C-Root Files.
. Rigidity: torsional strength.
. Flexibility: in pre-bending and seamlessly match canals’ shape.
. Rapid cutting: Ensure robust edge strength, featuring cross-section and sharp edges for efficient performance at high speed 500rpm, ultimately saving valuable time in root canal preparation.
Fig. 11
Assorted file: 15/08 - 19mm
Fig. 12
Assorted file: 15/03 - 25mm
Fig. 13
Assorted file: 20/05 - 25mm
Fig. 14
Assorted file: 25/06 - 25mm
Fig. 15
Endo treatment, build up & partial adhesive prep.
Fig. 16
Appointment for cementation.
Conservative overlay preparation.
Material emax.
Fig. 17
Pre - heated composite is use for cementation
Fig. 18
Removal of excess of cement and polishing of the restoration
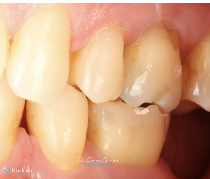
Fig. 19
Final result
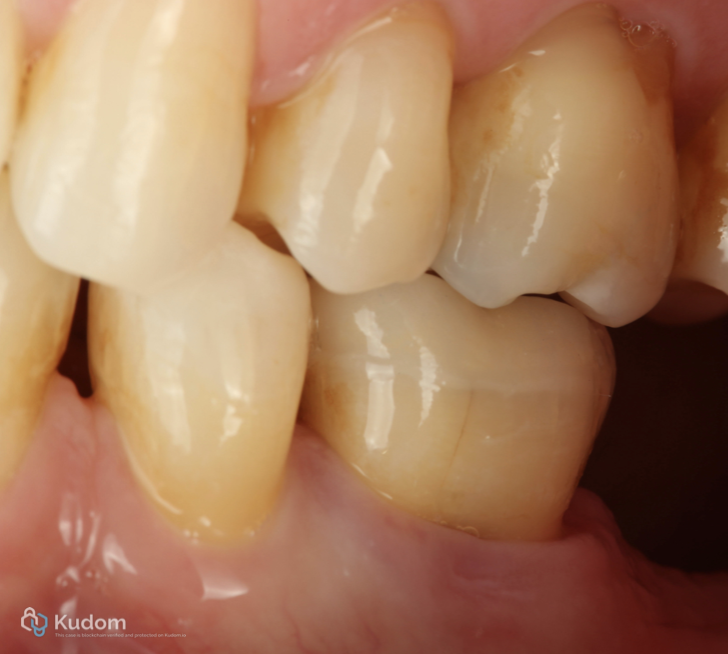
Fig. 20
Final result
Fig. 21
More resistent for occlusion
Fig. 22
X-ray final result from endo to final conservative restoration
Conclusions
In summary, the success of endodontic treatment extends beyond the elimination of infection within the root canal. A Well-executed restoration plays a critical role in preserving the tooth’s structure, preventing fractures, and maintaining long-term oral health. Proper material selection and careful placement are essential to ensure the tooth remains functional, aesthetically pleasing, and durable over time.
Bibliography
Gomes, Brenda P F A et al. “Irrigants and irrigation activation systems in Endodontics.” Brazilian dental journal vol. 34,4 (2023): 1-33. doi:10.1590/0103-6440202305577.
Shekhar, Shivangi et al. “To evaluate and compare the effect of 17% EDTA, 10% citric acid, 7% maleic acid on the dentinal tubule penetration depth of bio ceramic root canal sealer using confocal laser scanning microscopy: an in vitro study.” F1000Research vol. 11 1561. 22 Dec. 2022, doi:10.12688/f1000research.127091.2
Scelza, Miriam F Zaccaro et al. “Decalcifying effect of EDTA-T, 10% citric acid, and 17% EDTA on root canal dentin.” Oral surgery, oral medicine, oral pathology, oral radiology, and endodontics vol. 95,2 (2003): 234-6. doi:10.1067/moe.2003.89
Mainjot, Amélie, and Alain Vanheusden. “Les restaurations partielles collées postérieures en céramique” [Posterior ceramic bonded partial restorations]. Revue belge de medecine dentaire vol. 61,2 (2006): 77-95.
